МРТ в Харькове — 1.5T магнитно-резонансная томография с передовыми диагностическими технологиями

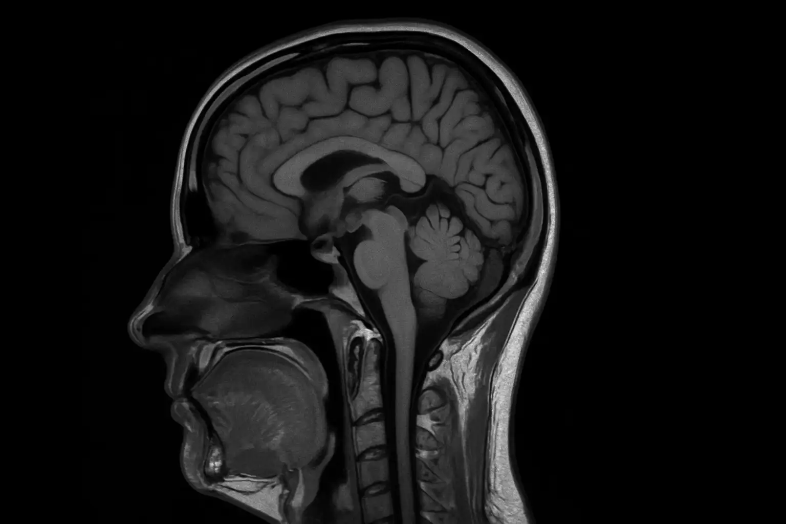
Магнитно-резонансная томография (МРТ) в медицинском центре «Бригид» использует современную технологию 1.5 Тесла для получения исключительно детальных изображений внутренних структур без ионизирующего излучения. Этот передовой метод визуализации обеспечивает непревзойденную контрастность мягких тканей, позволяя точно диагностировать неврологические, опорно-двигательные, абдоминальные и сосудистые заболевания с максимальным уровнем безопасности пациента.

Ключевые преимущества технологии МРТ 1.5T

🛡️

Без лучевой нагрузки

Никакого ионизирующего излучения — полностью безопасно для детей, беременных и повторных исследований

🔬

Исключительная контрастность мягких тканей

Превосходная визуализация мозга, спинного мозга, мышц, связок и органов без ограничений контраста

📊

Многоплоскостная визуализация

Изображения в аксиальной, сагиттальной, коронарной и косой плоскостях без перепозиционирования пациента

💓

Передовая нейровизуализация

Диффузионная, перфузионная, спектроскопическая и функциональная МРТ для комплексной неврологической оценки

Быстрые протоколы сканирования

Сокращение времени исследования с помощью параллельной визуализации и ускоренных последовательностей

🎯

Точная диагностика

Выявление очагов размером в миллиметры и ранних патологических изменений до появления симптомов

Что такое магнитно-резонансная томография?

Магнитно-резонансная томография (МРТ) — это неинвазивный диагностический метод, использующий мощные магнитные поля и радиоволны для создания детальных изображений органов и тканей. В отличие от КТ, МРТ не использует ионизирующее излучение, что делает её одним из самых безопасных методов визуализации. Напряженность магнита 1.5 Тесла обеспечивает оптимальный баланс между качеством изображения, скоростью сканирования и комфортом пациента.

1.5Т
Напряженность магнитного поля для оптимальной диагностической визуализации
0%
Лучевая нагрузка — полностью безопасная технология визуализации
20–60
Минут — средняя продолжительность исследования
1 мм
Пространственное разрешение для выявления мельчайших патологических изменений

Когда рекомендуется МРТ-исследование?

Неврологическая и спинальная диагностика:

  • Опухоли мозга — выявление, характеристика и планирование лечения
  • Оценка инсульта — ранние ишемические изменения, кровоизлияния, сосудистые аномалии
  • Рассеянный склероз — выявление бляшек, мониторинг активности заболевания
  • Обследование при эпилепсии — структурные причины, хирургическое планирование
  • Заболевания позвоночника — грыжи дисков, стеноз позвоночного канала, компрессия спинного мозга
  • Нейродегенеративные заболевания — оценка болезни Альцгеймера, Паркинсона, деменции

Опорно-двигательная визуализация:

  • Травмы суставов — разрывы связок, повреждения менисков, дефекты хряща
  • Спортивная медицина — стрессовые переломы, повреждения сухожилий, разрывы мышц
  • Оценка артрита — ревматоидный, остеоартрит, воспалительные изменения
  • Опухоли костей — характеристика, стадирование, ответ на лечение
  • Патология позвоночника — дегенеративная болезнь дисков, артрит фасеточных суставов
  • Плечо/колено/бедро — комплексная оценка суставов для хирургического планирования

Абдоминальная и тазовая диагностика:

  • Заболевания печени — очаговые поражения, цирроз, жировая болезнь, опухоли
  • Оценка поджелудочной железы — панкреатит, опухоли, кистозные образования
  • Оценка почек — образования, кисты, структурные аномалии
  • Визуализация простаты — выявление рака, стадирование, наведение биопсии
  • Гинекологические состояния — миомы матки, образования яичников, эндометриоз
  • Рак прямой кишки — местное стадирование, планирование лечения, оценка ответа

Процесс МРТ-исследования

1

Скрининг и подготовка

Комплексный скрининг безопасности на наличие металлических имплантатов, устройств или инородных тел. Переодевание в специальную одежду, удаление всех металлических предметов. Планирование введения контраста при необходимости.

2

Позиционирование и коммуникация

Комфортное размещение на столе для сканирования. Предоставление наушников для связи и снижения шума сканера. Размещение кнопки экстренного вызова в пределах досягаемости пациента.

3

Процесс сканирования

Движение стола в туннель магнита. Выполнение серии снимков согласно протоколам исследуемой области. Сотрудничество пациента с инструкциями по задержке дыхания (при необходимости).

4

Контроль качества изображений

Немедленный просмотр полученных изображений радиологом для обеспечения диагностического качества. Дополнительные последовательности при необходимости для уточнения конкретных клинических вопросов.

5

После процедуры и результаты

Помощь при выходе со стола. Мониторинг после введения контраста. Заключение сертифицированного радиолога обычно предоставляется в течение 24–48 часов.

Технические характеристики МРТ 1.5T

  • Магнит 1.5 Тесла — оптимальная напряженность поля для диагностической визуализации
  • Передовая технология катушек — специализированные катушки для высокой детализации
  • Параллельная визуализация — ускоренное сканирование, сокращающее время исследования до 50%
  • Конструкция с широким туннелем — апертура 70 см для комфорта пациента и уменьшения клаустрофобии

Запишитесь на МРТ-исследование

Магнитно-резонансная томография обеспечивает непревзойденную визуализацию для точной диагностики и планирования лечения.

Свяжитесь с медицинским центром «Бригид», чтобы записаться на МРТ-исследование или проконсультироваться с нашими радиологами относительно оптимального метода визуализации для ваших нужд.

Медицинский центр «Бригид» — передовая МРТ-диагностика в Харькове.
Технология 1.5 Тесла · Визуализация без излучения · Исключительная контрастность · Экспертная интерпретация

Наши услуги

Наше оборудование

Магнітно-резонансний томографи Philips Achieva 1.5T, Intera1.5T

Магнітно-резонансний томографи Philips Achieva 1.5T, Intera1.5T

Високопольний МРТ-сканер, що забезпечує виняткову якість зображення, швидке сканування та комфорт пацієнта. Ідеальний для точних діагностичних досліджень у всіх клінічних напрямках.

  • Потужне магнітне поле 1.5 Тл — висока чіткість та деталізація
  • Швидкі протоколи та зменшення артефактів руху
  • Розширені послідовності для дослідження мозку, хребта, суглобів і органів
  • Комфортна широка тунельна система та тихе сканування
  • Оптимальний вибір для рутинних і складних МРТ-досліджень
Пальчик Сергей Михайлович

Пальчик Сергей Михайлович

Врач рентгенолог, заведующий отделом МРТ диагностики
Панасенко Владислав Александрович

Панасенко Владислав Александрович

Врач рентгенолог
Куцин Владислав Николаевич

Куцин Владислав Николаевич

Врач рентгенолог
Балясная Виктория Валерьевна

Балясная Виктория Валерьевна

Врач-рентгенолог

Цены на услуги

Услуга Цена
МРТ ангиография артерий головного мозга 1700 грн.
МРТ ангиография артерий и венозных синусов головного мозга 2000 грн.
МРТ ангиография артерий шеи 1700 грн.
МРТ гипофиза 1900 грн.
МРТ головного мозга 2200 грн.
МРТ головного мозга и сосудов головного мозга 3000 грн.
МРТ головного мозга и шейного отдела позвоночника 3000 грн.
МРТ голеностопного сустава 1900 грн.
МРТ молочных желез 3500 грн.
МРТ грудного отдела позвоночника 2100 грн.
МРТ с контрастным усилением 10 мл 1300 грн.
МРТ с контрастным усилением 15 мл 1500 грн.
МРТ с контрастным усилением 20 мл 1700 грн.
МРТ наружных половых органов 2200 грн.
МРТ кисти 2000 грн.
МРТ коленного сустава 2100 грн.
МРТ крестцово-подвздошных сочленений 2000 грн.
МРТ крестцово-копчикового отдела позвоночника 2100 грн.
МРТ тазобедренных суставов 2100 грн.
МРТ локтевого сустава 2100 грн.
МРТ мягких тканей конечности 2100 грн.
МРТ мягких тканей шеи 2200 грн.
МРТ орбит и параорбитального пространства 2000 грн.
МРТ органов малого таза 3200 грн.
МРТ предстательной железы 3100 грн.
МРТ печени с гепатотропным контрастом 7000 грн.
МРТ плечевого сустава 2200 грн.
МРТ поясничного отдела позвоночника 2100 грн.
МРТ сердца с контрастным усилением 7700 грн.
МРТ височно-нижнечелюстных суставов 1800 грн.
МРТ стопы 2000 грн.
МРТ сустава пальца 1400 грн.
МРТ трех отделов позвоночника 4800 грн.
МРТ брюшной полости 3200 грн.
МРТ брюшной полости и органов малого таза 6000 грн.
МРТ шейного отдела позвоночника 2100 грн.
Запись МРТ исследования на Flash носитель 300 грн.
Печать рентгеновской пленки с МРТ изображениями 250 грн.
Дополнительная запись диска с обследованием 100 грн.
Отправка исследования на электронную почту (через файлообменник) 200 грн.

Полезная информация

🧲

МРТ

Подготовка, рекомендации и ответы на частые вопросы по магнитно-резонансной томографии: МРТ головы, позвоночника, суставов, органов, сосудов и исследования с контрастированием.

Безопасность магнитно-резонансной томографии

МРТ является безопасным методом диагностики, так как не использует рентгеновское излучение. Однако существуют противопоказания, связанные с наличием металлических или электронных имплантов.

Подготовка к магнитно-резонансной томографии

В большинстве случаев специальная подготовка к МРТ не требуется. Перед исследованием необходимо снять все металлические предметы и сообщить врачу о наличии имплантов.

Контрастное усиление при МРТ

МРТ с контрастированием проводится для более точной оценки новообразований, сосудов и воспалительных процессов. Необходимость контраста определяет врач.

Результаты магнитно-резонансной томографии

После проведения МРТ пациент получает официальное медицинское заключение и DVD-диск с записью исследования. По желанию пациента дополнительно можно заказать печать снимков на плёнке или запись исследования на флеш-накопитель.

МРТ при клаустрофобии

Для пациентов со страхом замкнутого пространства в медицинском центре «Бригид» возможно проведение МРТ с медикаментозной седацией. Также для исследований суставов используется открытый МРТ, что существенно снижает дискомфорт.

Срок хранения результатов магнитно-резонансной томографии

Результаты МРТ хранятся в архиве медицинского центра в течение 5 лет. При необходимости пациент может обратиться за повторным получением копии.

Сравнение результатов МРТ в динамике

Да, сравнение возможно при условии, что пациент предоставляет диски с предыдущими МРТ-исследованиями и медицинские заключения в день обращения.

Уровень шума при МРТ-исследовании

Во время работы МРТ-аппарат может издавать громкие звуки, что является нормой. Для комфорта пациентам предоставляются средства защиты слуха.

Контрастное усиление при МРТ

Все МРТ-исследования в прайсе указаны без контрастного усиления. При необходимости контрастирование выполняется дополнительно и оплачивается отдельно по рекомендации врача.

Доступно в филиалах:

Медицинский центр "Бригид" в Харькове

61024, г. Харьков, ул. Григория Сковороды, 82 (на территории Института медицинской радиологии и онкологии им. С.П. Григорьева)

Телефон: +380993004441

Email: info@brigid.com.ua

Диагностическое отделение №2 "Бригид" в Харькове

61103, г. Харьков, переулок Игоря Остаповича, 5 (на территории Центра сердечно-сосудистых и цереброваскулярных патологий)

Телефон: +380993004441

Email: info@brigid.com.ua

Поликлиническое отделение "Бригид" в Харькове

61002, г. Харьков, Куликовский спуск 8/10

Телефон: +380993004441

Email: info@brigid.com.ua

Последние статьи

МРТ малого таза: точная диагностика гинекологических и онкологических заболеваний

МРТ малого таза: точная диагностика гинекологических и онкологических заболеваний

МРТ малого таза — высокоинформативное исследование, позволяющее выявить гинекологические заболевания, воспаления и опухоли на самых ранних стадиях. Процедура безопасна и незаменима для детального изучения органов репродуктивной системы.

Подробнее →

Записаться на прием

Поля, отмеченные * — обязательны

Book

Онлайн-запись носит предварительный характер. Мы свяжемся с вами, чтобы уточнить детали и подтвердить прием.

Ваши персональные данные полностью защищены и не передаются третьим лицам. Контактная информация нужна только для обратной связи и оформления записи.