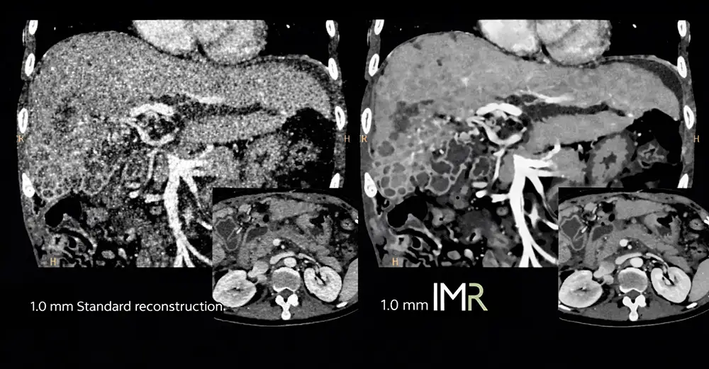
Снижение лучевой нагрузки на КТ: технология IMR для безопасности и четкости
Узнайте, как технология IMR на КТ Philips снижает лучевую нагрузку до 80%, одновременно улучшая качество снимков. Безопасность для детей и онкоскрининга.
Подробнее →
Современное оборудование премиум-класса для проведения ультразвуковых исследований. Опытные врачи и индивидуальный подход к каждому пациенту.
Подробнее об УЗИ
Точная диагностика мозговой активности. Выявление судорог, эпилепсии, нарушений сна и неврологических расстройств. Быстро, безопасно, без боли.
Посмотреть услугу
Быстрая и точная диагностика внутренних органов. Раннее выявление травм, опухолей, воспалений и осложнений. Современное оборудование — минимальная лучевая нагрузка.
Подробнее о КТСовременное оборудование для точного диагноза
Комплексное лечение и медицинское сопровождение пациентов
Помощь рядом, когда она нужна больше всего
🎄 С Рождеством Христовым от команды «Бригид»! 🎄 Уважаемые пациенты, партнеры и друзья! ...
Читать далее →🎄 Новогодняя акция на УЗИ 🎄 Получите СКИДКУ 10% на ВСЕ ультразвуковые исследования! 📅 Срок действия акции: 25 декабря 2025...
Читать далее →Медицинский центр «Бригид» расширяет спектр диагностических услуг для еще более точного и комплексного обследования пациентов. Рады сообщить о доступн...
Читать далее →С радостью сообщаем о значительном расширении нашей сети! В Харькове открылся новый филиал медицинского центра «Бригид». Теперь жители города и област...
Читать далее →Узнайте, как технология IMR на КТ Philips снижает лучевую нагрузку до 80%, одновременно улучшая качество снимков. Безопасность для детей и онкоскрининга.
Подробнее →УЗИ играет ключевую роль в раннем выявлении рака. Узнайте, какие опухоли можно обнаружить на начальных стадиях, какие технологии (эластография, допплер) повышают точность диагноза.
Подробнее →Безопасно ли делать УЗИ часто? Развенчиваем мифы об облучении, вреде для плода и повреждении тканей. Научные факты и рекомендации специалистов центра «Бригид».
Подробнее →Эхокардиография в центре «Бригид»: точный метод оценки работы сердца, размеров камер и состояния клапанов. Профессиональное оборудование и опытные кардиологи в Харькове.
Подробнее →
Онлайн-запись носит предварительный характер. Мы свяжемся с вами, чтобы уточнить детали и подтвердить прием.
Ваши персональные данные полностью защищены и не передаются третьим лицам. Контактная информация нужна только для обратной связи и оформления записи.
На сайте используются cookies с целью повышения удобства пользования сайтом и доступности персонализированных сервисов.
Для получения дополнительной информации вы можете ознакомиться с нашей Политикой использования cookies и Политикой в отношении обработки персональных данных.
Настройки cookies могут быть изменены в параметрах вашего браузера.
Вы перешли на русскую версию сайта. Хотите перейти на украинскую версию?