КТ в Харькове — Philips Brilliance 64: высокоточная томографическая диагностика

Компьютерная томография (КТ) в медицинском центре «Бригид» выполняется на современном 64-срезовом томографе Philips Brilliance 64, обеспечивающем исключительное качество изображений, высокую скорость сканирования и максимальный комфорт для пациента. Эта передовая диагностическая система позволяет детально визуализировать внутренние органы, кости, кровеносные сосуды и мягкие ткани с точностью до миллиметра, обеспечивая достоверную диагностику и эффективное планирование лечения.

Ключевые преимущества КТ-сканера Philips Brilliance 64

🔬

Высокое разрешение

Выявление патологических изменений размером от 1–2 мм с исключительной четкостью изображения.

Быстрое сканирование

Полное обследование систем органов за секунды, сокращение времени исследования на 30–40%.

🛡️

Сниженная лучевая нагрузка

Технология DoseRight автоматически минимизирует радиационное воздействие при сохранении качества изображения.

📊

3D-реконструкция

Передовое 3D-моделирование анатомических структур для комплексного хирургического планирования.

💓

Кардиологическая визуализация

Высокоскоростная КТ сердца для оценки коронарных артерий без артефактов движения.

😌

Комфорт пациента

Широкий гентри (70 см), тихая работа; подходит для пациентов с клаустрофобией и весом до 150 кг.

Что такое современная компьютерная томография?

Компьютерная томография (КТ) — это неинвазивный метод диагностической визуализации, использующий рентгеновские лучи и компьютерную обработку для создания детальных послойных изображений тела. В отличие от обычной рентгенографии, КТ обеспечивает трехмерную визуализацию органов, сосудов, костей и мягких тканей, позволяя выявлять патологии на самых ранних стадиях.

64
Ряда детекторов для одновременной высокоразрешающей визуализации
0.5 мм
Минимальная толщина среза для исключительной детализации
30%
Снижение лучевой нагрузки по сравнению с обычной КТ
10–20
Минут — средняя продолжительность исследования

Когда рекомендуется КТ-исследование?

Экстренная и травматологическая диагностика:

  • Черепно-мозговая травма — переломы черепа, внутричерепные кровоизлияния, ушиб мозга.
  • Повреждения позвоночника — переломы позвонков, компрессия спинного мозга.
  • Травма грудной клетки — переломы ребер, ушиб легких, пневмоторакс.
  • Травмы живота — разрывы органов, внутренние кровотечения.
  • Множественная травма — КТ всего тела для пациентов с политравмой.

Онкологическая диагностика и стадирование:

  • Выявление опухолей — раннее обнаружение новообразований в различных органах.
  • Стадирование рака — оценка размера опухоли, поражения лимфоузлов, метастазов.
  • Мониторинг лечения — оценка эффективности химиотерапии или лучевой терапии.
  • Выявление рецидивов — раннее обнаружение повторного заболевания.
  • Направленная биопсия — точное наведение для забора тканей.

Неврологические и сосудистые исследования:

  • Оценка инсульта — дифференциация ишемического и геморрагического инсульта.
  • Выявление аневризм — обнаружение церебральных и аортальных аневризм.
  • Оценка сосудов — КТ-ангиография для исследования артерий и вен.
  • Нейродегенеративные заболевания — оценка структуры мозга.
  • Обследование при эпилепсии — структурные причины судорожных расстройств.

Кардиологическая и легочная диагностика:

  • Ишемическая болезнь сердца — кальциевый скоринг и КТ-ангиография.
  • Тромбоэмболия легочной артерии — КТ-пульмональная ангиография для поиска тромбов.
  • Скрининг рака легких — низкодозная КТ для пациентов высокого риска.
  • Хронические заболевания легких — ХОБЛ, фиброз, эмфизема.
  • Структура сердца — оценка камер сердца, клапанов и магистральных сосудов.

Процесс КТ-исследования

1

Подготовка и консультация

Изучение истории болезни, объяснение процедуры, получение согласия. Инструкции по подготовке (голодание, подготовка с контрастом).

2

Позиционирование и настройка

Комфортное размещение на столе сканера. Проверка системы связи пациента с технологом на время исследования.

3

Процесс сканирования

Движение стола через гентри. Выполнение команд по задержке дыхания. Обычная длительность — 10–20 минут.

4

Введение контрастного вещества

При необходимости — внутривенное введение контраста для визуализации сосудов. Мониторинг состояния пациента.

5

Обработка изображений и анализ

Компьютерная обработка данных, 3D-реконструкция. Интерпретация радиологом и подготовка заключения в течение 24–48 часов.

Безопасность и радиационная защита

Безопасность пациента — наш приоритет. Мы применяем следующие меры:

  • Принцип ALARA — доза облучения настолько низка, насколько это разумно достижимо.
  • Педиатрические протоколы — специально сниженные настройки дозы для детей.
  • Скрининг беременности — обязательная проверка для женщин репродуктивного возраста.
  • Безопасность контраста — контроль функции почек и оценка рисков аллергии.
  • Свинцовая защита — экранирование щитовидной железы и других органов по мере необходимости.
  • Мониторинг дозы — регистрация и отслеживание индивидуальных доз пациентов.

Запишитесь на КТ-исследование

Ранняя и точная диагностика с помощью передовой КТ-визуализации может значительно повлиять на результаты лечения. Наш КТ-сканер Philips Brilliance 64 обеспечивает исключительные возможности с фокусом на комфорт и безопасность.

Свяжитесь с медицинским центром «Бригид», чтобы записаться на КТ или проконсультироваться с нашими радиологами о наиболее подходящем методе визуализации.

Медицинский центр «Бригид» — передовая КТ-диагностика в Харькове.
Philips Brilliance 64 • Высокое разрешение • Низкая лучевая нагрузка • 3D-визуализация • Экспертная интерпретация

Наше оборудование

Компютерный томограф Philips Brilliance 64

Компютерный томограф Philips Brilliance 64

Современный высокоскоростной аппарат, обеспечивающий детальную визуализацию органов и сосудов при минимальной лучевой нагрузке.

  • 64 среза за один оборот — быстрое и четкое сканирование
  • Высокая детализация мягких тканей, сосудов и костных структур
  • Сниженная доза облучения благодаря технологии DoseRight, IMR
  • Комфортное обследование для детей и пациентов с клаустрофобией
  • Быстрая диагностика при неотложных состояниях
Тимофеева Оксана Викторовна

Тимофеева Оксана Викторовна

Врач - рентгенолог, заведующая отделом КТ диагностики
Пасмор Анастасия Андреевна

Пасмор Анастасия Андреевна

Врач рентгенолог
Хливнюк Мария Олеговна

Хливнюк Мария Олеговна

Врач-рентгенолог
Лободенко Оксана Викторовна

Лободенко Оксана Викторовна

Врач-рентгенолог

Цены на услуги

Услуга Цена
Индексация коронарного кальция 1000 грн.
МСКТ ангиография аорты 1300 грн.
МСКТ ангиография верхних конечностей 1300 грн.
МСКТ ангиография легочных артерий 1300 грн.
МСКТ ангиография нижних конечностей 1300 грн.
МСКТ ангиография сосудов головного мозга 1300 грн.
МСКТ ангиография сосудов шеи 1300 грн.
МСКТ внутреннего уха 1100 грн.
МСКТ головного мозга 1100 грн.
МСКТ головного мозга шеи грудной клетки брюшной полости и органов таза 3900 грн.
МСКТ голени 1100 грн.
МСКТ голеностопного сустава 1100 грн.
МСКТ грудного отдела позвоночника 1100 грн.
МСКТ с контрастным усилением 100 мл 1100 грн.
МСКТ с контрастным усилением 150 мл 1700 грн.
МСКТ с контрастным усилением 50 мл 900 грн.
МСКТ кисти 1100 грн.
МСКТ костей таза 1100 грн.
МСКТ коленного сустава 1100 грн.
МСКТ комплексное онкологическое обследование 2700 грн.
МСКТ коронарография 3300 грн.
МСКТ тазобедренного сустава 1100 грн.
МСКТ локтевого сустава 1100 грн.
МСКТ низкодозовая легких 1000 грн.
МСКТ органов грудной клетки 1100 грн.
МСКТ органов малого таза 1100 грн.
МСКТ органов брюшной полости 1100 грн.
МСКТ плечевого сустава 1100 грн.
МСКТ пояснично-крестцового отдела позвоночника 1100 грн.
МСКТ придаточных пазух носа 1100 грн.
МСКТ мочевыделительной системы 1700 грн.
МСКТ трех отделов позвоночника 3000 грн.
МСКТ шеи 1100 грн.
МСКТ шеи грудной клетки брюшной полости и органов таза 3700 грн.
МСКТ шейного отдела позвоночника 1100 грн.
Запись КТ исследования на Flash носитель 300 грн.
Печать рентгеновской пленки с КТ изображениями 250 грн.
Дополнительная запись диска с обследованием 100 грн.
Отправка исследования на электронную почту (через файлообменник) 200 грн.

Полезная информация

🖥️

Компьютерная томография

Подготовка, рекомендации и ответы на частые вопросы по компьютерной томографии: КТ органов, костей, лёгких, сосудов и исследований с контрастным усилением.

Безопасность компьютерной томографии

КТ проводится с использованием рентгеновского излучения, однако доза облучения контролируется и соответствует медицинским нормам.

Подготовка к компьютерной томографии

Подготовка зависит от вида КТ. Для большинства исследований специальная подготовка не требуется, но перед КТ с контрастом может быть рекомендовано воздержаться от еды.

Контрастирование при КТ

Все КТ-исследования в прайсе указаны без контрастирования. При необходимости контраст вводится дополнительно и оплачивается отдельно по рекомендации врача.

Противопоказания к компьютерной томографии

КТ имеет определённые противопоказания, в том числе беременность. Перед исследованием важно сообщить врачу о сопутствующих заболеваниях.

Длительность компьютерной томографии

КТ обычно занимает от нескольких минут до 15–20 минут в зависимости от исследования.

Результаты компьютерной томографии

После КТ пациент получает официальное медицинское заключение и DVD-диск с записью исследования. Дополнительно можно заказать плёнку или запись на флеш-накопитель.

Сравнение КТ в динамике

Сравнение возможно при предоставлении пациентом предыдущих КТ-исследований и заключений в день обращения.

Хранение результатов КТ

Результаты КТ хранятся в архиве медицинского центра в течение 5 лет. Возможна повторная выдача копии.

Доступно в филиалах:

Медицинский центр "Бригид" в Харькове

61024, г. Харьков, ул. Григория Сковороды, 82 (на территории Института медицинской радиологии и онкологии им. С.П. Григорьева)

Телефон: +380993004441

Email: info@brigid.com.ua

Диагностическое отделение №2 "Бригид" в Харькове

61103, г. Харьков, переулок Игоря Остаповича, 5 (на территории Центра сердечно-сосудистых и цереброваскулярных патологий)

Телефон: +380993004441

Email: info@brigid.com.ua

Последние статьи

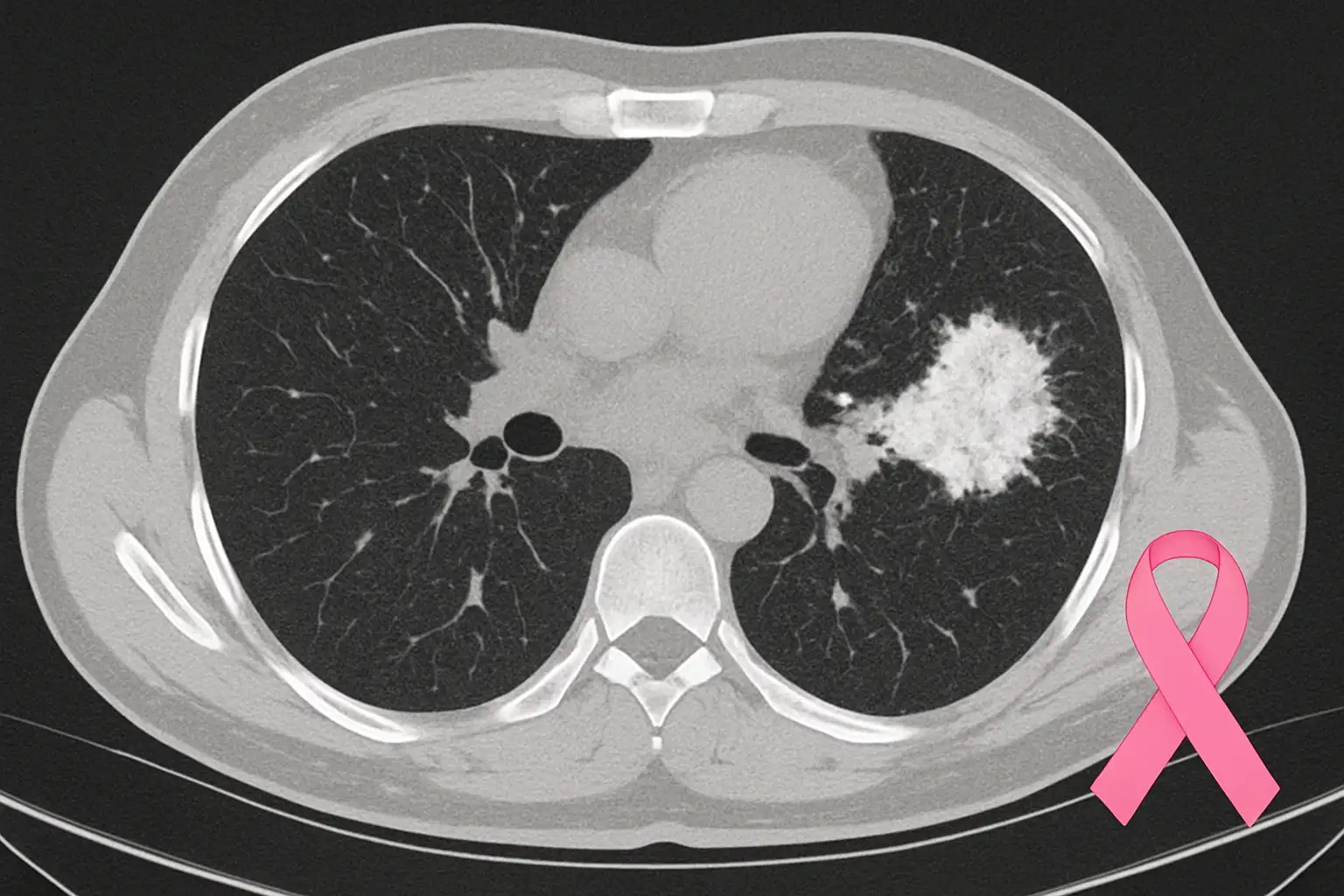
Компьютерная томография в онкологии: ранняя диагностика рака

Компьютерная томография в онкологии: ранняя диагностика рака

КТ играет ключевую роль в онкологии: позволяет выявлять опухоли на ранних стадиях, определять их размеры, структуру и распространение. Узнайте, почему онкоскрининг спасает жизни.

Подробнее →
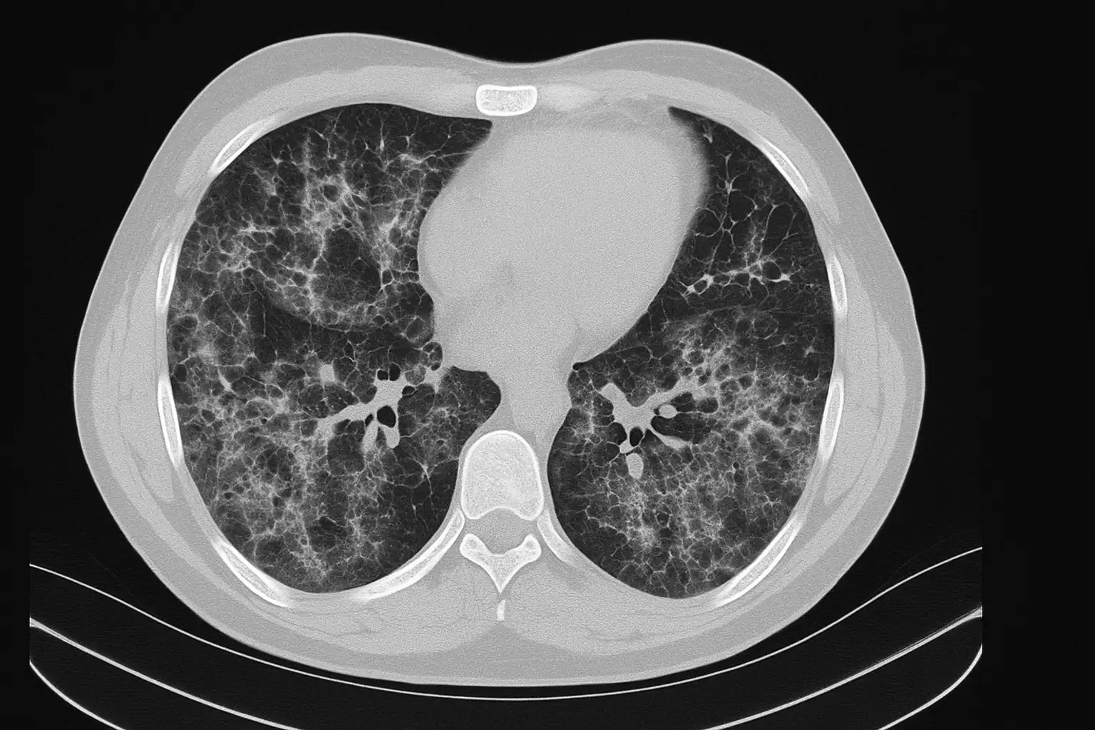
Компьютерная томография лёгких: точная диагностика лёгочной патологии

Компьютерная томография лёгких: точная диагностика лёгочной патологии

КТ лёгких — лучший метод оценки состояния дыхательной системы. Исследование позволяет выявить пневмонию на ранней стадии и определить признаки вирусных поражений, включая COVID-19.

Подробнее →

Записаться на прием

Поля, отмеченные * — обязательны

Book

Онлайн-запись носит предварительный характер. Мы свяжемся с вами, чтобы уточнить детали и подтвердить прием.

Ваши персональные данные полностью защищены и не передаются третьим лицам. Контактная информация нужна только для обратной связи и оформления записи.